Ortodontia
Porquê alinhar os dentes?
Aparência
As pessoas ficam preocupadas com o aspecto dos seus dentes e um sorriso atractivo pode ter um papel importante na auto-confiança.Nos dias de hoje, com boa higiene oral e cuidados dentários regulares, os seus dentes deveriam durar a vida toda. Não seria bom se eles fossem bonitos também?

Higiene
É mais difícil limpar os dentes quando estão apinhados.
Uma higiene inadequada é um factor primordial para cárie dentária, doença gengival/periodontal e eventualmente para a perda dentária.
Desgaste dentário
Algumas más-oclusões levam a desgaste dentário aumentado
Danos gengivais
Em más-oclusões severas os dentes podem causar problemas gengivais. Por exemplo, em casos de sobremordida, os incisivos inferiores podem morder na gengiva atrás dos incisivos superiores.
Problemas na articulação temporo-mandibular
Está demonstrado que algumas más-oclusões causam danos e dor na ATM (articulação temporo-mandibular).
Fala
Algumas pessoas têm dificuldade em falar convenientemente devido a problemas de alinhamento dos dentes e dos maxilares.
Quando começar um tratamento de ortodontia?
Os problemas ortodônticos são habitualmente detectados aos 7 anos, quando os dentes incisivos definitivos erupcionam. Contudo, podem ser detectados problemas antes.
Um exame precoce permite ao dentista detectar/ avaliar problemas e planear um correcto plano de tratamento.
Um tratamento precoce pode prevenir o desenvolvimento de problemas ou tornar o tratamento ortodôntico no futuro mais curto ou menos complicado. O tratamento precoce pode conseguir resultados que não são possíveis de atingir quando a face e os maxilares terminam o crescimento.
Na maior parte dos casos, o tratamento ortodôntico começa quando se perde o último dente de leite, por volta dos 13 anos. Em alguns casos, é uma vantagem começar o tratamento antes de perder os últimos dentes de leite.
No passado, o tratamento ortodôntico estava restrito às crianças. Todavia, o processo básico envolvido na movimentação dentária é o mesmo para todas as idades e o tratamento ortodôntico é também eficaz nos adultos.
Na idade adulta os ossos faciais não crescem, e devido a isso, algumas más-oclusões não podem ser corrigidas apenas com aparelho. Nestes casos, o tratamento ortodôntico combinado com cirurgia maxilar consegue atingir melhorias dramáticas.
Se pensa que tem um problema ortodôntico, a melhor altura para fazer uma consulta tão breve quanto possível
Problemas ortodônticos mais comuns
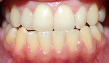
Dentes apinhados
Uma desarmonia entre o tamanho dos dentes e dos maxilares pode resultar em apinhamento dentário.
Os dentes apinhados podem ser inestéticos e mais difícil de higienizar. Eles são propensos aos desgaste desigual.
O tratamento ortodôntico envolve usualmente o uso de aparelho que é a forma mais eficiente e precisa de alinhar os dentes.
Por vezes é necessário fazer extracções dentárias para providenciar espaço suficiente para permitir aos dentes o alinhamento na posição estável e harmoniosa com os maxilares e a face.
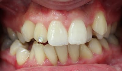
Dentes protruídos
Dentes protruidos resultam quando a posição do maxilar superior está à frente do maxilar inferior.
Em casos severos, o lábio inferior pode estar por trás dos dentes incisivos superiores e puxá-los ainda mais para a frente e acentuar a desarmonia.
Dentes protruidos podem ser inestéticos e ser mais sujeitos a fractura por acidente. Muitas vezes são usados de forma irregular. Por vezes, os dentes incisivos inferiores podem sobre-erucionar e causar danos na gengiva atrás dos dentes incisivos superiores.
O tratamento ortodôntico envolve o alinhamento, nivelação e coordenação de ambos os maxilares com aparelho. Nos doentes em crescimento, a mordida pode ser corrigida com máscaras ou aparelhos funcionais.
Em casos severos, especialmente em doentes adultos, pode ser necessário cirurgia para corrigir a desarmonia.
Dentes ectópicos
Dentes ectópicos são dentes que erupcionam em sítios errados.
Na maior parte dos casos, dentes ectópicos podem ser movidos para a correcta posição com aparelho.
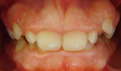
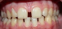
Dentes espaçados
Os espaços podem resultar numa desarmonia entre o tamanho dos dentes e dos maxilares ou pela deglutição atípica.
Os espaços entre os dentes podem ser inestéticos e interferir com a fala.
O tratamento ortodôntico habitualmente usa um aparelho para alinhar os dentes e fechar os espaços.
Uma deglutição atípica deve ser eliminada ou o espaçamento pode voltar a aparecer
Dentes impactados ou inclusos
Dentes impactados não têm espaço suficiente para erupcionar.
Tratamento ortodôntico envolve criação de espaço para permitir ao dente impactado erupcionar.
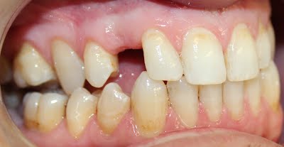
Falta de dentes
Falta de dentes resulta habitualmente em espaços inestéticos.
Os dentes oponentes e os vizinhos podem migrar ou inclinar-se para o espaço e criar ainda mais problemas.
O tratamento ortodôntico envolve mover todos os dentes para a correcta posição e criar o espaço apropriado para facilitar a substituição dos dentes em falta com prótese.
Em determinadas situações, é possível fechar os espaços e evitar ter que substituir os dentes com próteses.
Mordida coberta
Os dentes incisivos superiores e/ou inferiores podem sobre-erupcionar e produzir uma mordida coberta.
Em casos severos, os dentes superiores podem cobrir os inferiores completamente.
Uma mordida coberta pode causar uso excessivo dos dentes incisivos e causar danos na gengiva por trás dos dentes incisivos superiores.
Mordidas cobertas podem produzir forças excessivas na articulação temporo-mandibular resultando em problemas nesta articulação.
Mordida cruzada – posterior e anterior
Os dentes superiores devem encaixar por fora dos dentes inferiores como uma tampa sobre uma caixa.
Se o maxilar superior é muito estreito, o maxilar inferior oscila para um dos lados para permitir que os dentes molares contactem. Resulta uma mordida cruzada posterior.
Pode resultar um desgaste irregular dos dentes, uma força excessiva e problemas na articulação temporo-mandibular.
O tratamento ortodôntico pode envolve o uso de um aparelho expansor em doentes em crescimento.
Quando o maxilar superior já estiver alargado, o maxilar inferior pode fechar normalmente.
Os dentes incisivos também podem erupcionar em mordida cruzada anterior.
Mordida invertida
Quando o maxilar inferior está à frente do maxilar superior, os dentes incisivos inferiores iclinam-se para a frente dos dentes superiores.
Pode ser inestético e causar uso desigual dos dentes incisivos e problemas na articulação temporo-mandibular.
Em casos moderados, tratamento convencional com aparelho pode ser usado para corrigir o problema.
Em casos severos, é necessário cirurgia maxilar apara corrigir a mordida e criar um perfil facial mais harmonioso.
Sucçção da língua ou do dedo
Estes hábitos de sucção podem produzir uma deformação local dos dentes e do osso de suporte.
Quando se remove o hábito, uma melhoria natural aparece.
Outros problemas
Pode ser necessário tratamento ortodôntico se estivermos perante:
- Dificuldades ao mastigar;
- Dificuldades na fala;
- Hábito de apertar /cerrar os dentes;
- Maxilares que se deslocam ou fazem estalido.
O tratamento ortodôntico - Vários estádios de um normal tratamento de ortodontia

Primeira consulta
Durante esta visita o paciente é examinado clinicamente. Isto permite ao Médico Dentista aconselhar acerca das opções de tratamento disponíveis, quando o tratamento deve começar, a duração do tratamento e ainda estimar o custo aproximado.
Por vezes só é possível dar estas informações com exactidão após estudo de cada caso.
Após tomada a decisão de iniciar o tratamento, uma consulta é marcada para se recolher dados:
- Moldes dos dentes
- Fotografias dos dentes e da face
- Radiografias dos dentes e dos maxilares
Estes dados permitem fazer uma análise de cada caso detalhadamente e são usados também como registo da má-oclusão existente para referência futura.
Plano de tratamento
Nesta consulta o Médico Dentista fala com o paciente acerca do plano de tratamento, elaborado usando a informação obtida na primeira consulta e da recolha de dados.Então o tratamento inicia ou se for ainda muito cedo, faz-se uma revisão periódica até que seja a altura apropriada para avançar.
Extracções e outros procedimentos preliminares
Por vezes é necessário remover dentes para ganhar espaço suficiente para alinhar os dentes.
As cáries dentárias devem ser tratadas e também deve ser feita uma limpeza dentária.
Brackets, Bandas e Arcos
Os brackets normalmente são feitos de metal, embora possam ser usados brackets estéticos, normalmente mais dispendiosos.
Os brackets ficam nos dentes durante todo o tratamento.
Pacientes fazem 1 consulta aproximadamente 1 vez por mês para ajustamentos, trocar os arcos, etc.
Elásticos
Durante o tratamento, alguns doentes podem precisar de usar estes elementos, importantes para fornecer forças extra para a correcção da mordida.
Quanto tempo?
O tratamento ortodôntico demora habitualmente entre 18-24 meses. Alguns casos podem finalizar mais cedo e outros podem demorar mais tempo.
O tempo total depende da severidade da má-oclusão inicial, do tipo de tratamento levado a cabo e da cooperação de cada paciente.
Contenção
Após terminar a parte activa do tratamento ortodôntico, o aparelho é removido e é colocada uma contenção para manter os dentes na sua nova posição. Esta contenção pode ser feita com goteiras removíveis ou arames fixos por trás dos dentes.
A contenção desempenha um papel importante no tratamento ortodôntico, e se não for usada segundo as instruções, os dentes podem mover-se de novo para a posição original.
As contenções são usadas habitualmente:
- A tempo inteiro durante 1 ano
- Apenas durante a noite mais 1 ano
- Eliminadas por completo passado mais 1 ano
Os dentes corrigidos são observados perodicamente- 1 a 2 vezes por ano, durante 5 anos após as contenções terem sido eliminadas.
Aplicações ortodônticas
Brackets, Arcos, Ligaduras e Tubos/Bandas
São a maneira mais eficaz de mover os dentes. São fixos aos dentes durante o tratamento ortodôntico.
Os Brackets são “colados” na superfície externa do dente.
Os metálicos são os mais frequentes e são feitos de aço inoxidável ou uma liga de titânio.
Também existem brackets em ouro ou brackets estéticos. Estes últimos podem ser em plástico ou em cerâmica. São mais difíceis de usar e normalmente mais dispendiosos.
Os brackets auto-ligáveis têm um mecanismo que prendem o bracket no arco sem necessidade de ligaduras.
Os Arcos providenciam a força para mover os dentes
As ligaduras são pequenos anéis elásticos (que podem ter inúmeras cores) ou finos fios metálicos usados para fixar o arco nos brackets.
As bandas são argolas de metal cimentadas à volta do dente.
Como funcionam?
Um arco distorcido exerce uma força em cada dente e quando retorna ao ideal, forma original pré-fabricada, move o dente que está ligado através do osso e gengiva.
Cada bracket é especifico para cada dente e os arcos são progressivamente mais espessos e rígidos de modo a alinhar os dentes gradualmente.
Brackets linguais
São usados por dentro dos dentes e são por vezes pedidos pelos doentes uma vez que não se veêm.
Contudo, os brackets linguais são mais difíceis de usar que os brackets convencionais e poucos Médicos Dentistas usam esta técnica.
Brackets linguais
São usados por dentro dos dentes e são por vezes pedidos pelos doentes uma vez que não se veêm.
Contudo, os brackets linguais são mais difíceis de usar que os brackets convencionais e poucos Médicos Dentistas usam esta técnica.
Elásticos
São bandas elásticas colocadas entre o aparelho superior e o inferior para mover dentes.
O movimento dentário desejado é obtido colocando ganchos em sítios apropriados no aparelho.
Aparelhos expansores
São usados para alargar o maxilar superior quando este é muito estreito em relação com o maxilar inferior.
É um aparelho fixo que usa um parafuso de expansão que é rodado regularmente para controlar a expansão.
Aparelhos funcionais
São aparelhos usados para corrigir uma desarmonia na relação entre o maxilar superior e a mandibula.
Eles funcionam influenciando o crescimento e desenvolvimento de um doente em crescimento.
O uso mais comum é para estimular o crescimento de uma maxila pouco desenvolvida ou retrusiva. O aparelho funcional segura a maxila para a frente durante um período até que os dentes, maxilares e articulações se adaptem e a posição articular tenha sido obtida.
A eficácia destes aparelhos depende:
- Tempo que é usado
- Rapidez de crescimento do doente
Os aparelhos funcionais alinham os maxilares e não os dentes, portanto são usados numa primeira fase de tratamento de doentes em crescimento com uma desarmonia maxilar considerável.
aparelhos removíveis
São usados para mover dentes através de molas de arame. Estão limitados apenas a movimentos simples, em crianças que estão em vias de perder os últimos dentes de leite. As molas estão unidas a uma base acrílica que se estabiliza aos dentes com ganchos.
São também usados para manter posições dentárias, como aparelhos funcionais ou como elevadores de mordida.

